
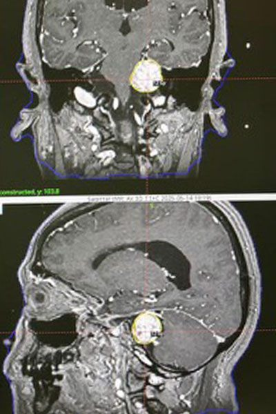
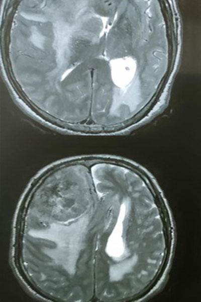
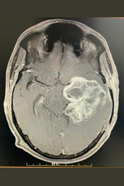
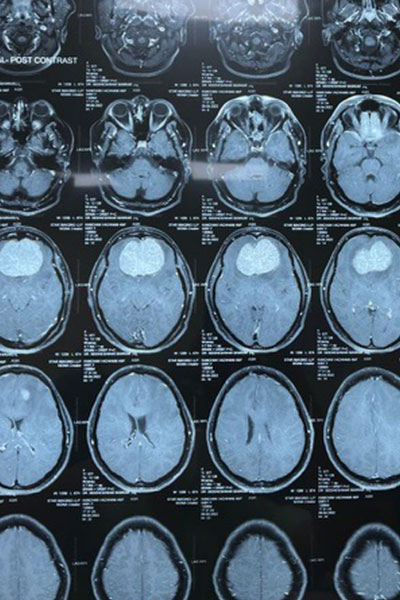
Dr. Ujwal Yeole is a highly qualified and experienced neurosurgeon with over a decade of dedicated service in the field of neurosurgery. He specializes in treating a wide spectrum of neurological conditions including neuro-oncology, peripheral nerve disorders, vascular disorders, spinal pathologies, pediatric neurosurgery, neuro-trauma and skull base neuroendoscopic procedures. Over the years, Dr. Yeole has successfully treated more than 1,800 patients post-qualification, combining surgical excellence with compassionate care.
An alumnus of the prestigious National Institute of Mental Health and Neurosciences (NIMHANS), Bengaluru, Dr. Yeole completed his MCh in Neurosurgery with distinction in 2018. He continued to sharpen his skills at NIMHANS as the Chief Resident till June 2019, during which he mentored over 30 neurosurgery trainees and played a key role in managing OPDs, ICUs, and emergency units.
In 2019, he served as Associate Consultant in Neurosurgery at P.D. Hinduja Hospital, Mumbai. Driven by a strong interest in neuro-oncology, he pursued a Clinical and Research Fellowship in Surgical Neuro-Oncology at Tata Memorial Hospital, Mumbai, in 2020.
Years of experience
With years of specialized training and experience, we provide precise diagnosis and advanced surgical care for complex neurological conditions.
Equipped with modern surgical tools and minimally invasive techniques, ensuring safer procedures and faster recovery.
Every patient receives individual attention, clear guidance, and compassionate support at every stage of treatment.
From routine procedures to complex brain and spine surgeries, we offer complete neurosurgical care under one roof.
KIMS Hospital, Cooperative Society, Queens St, near BRENTFORD, Hiranandani Estate, Thane West, Thane, Maharashtra 400615
For Appointment : +91-8928966787
First Floor, Takavane Heights, Santoshi Mata Rd, next to MSEB Office, Syndicate, Kalyan, Maharashtra 421301
For Appointment : +91-7304003216
No. 5, Sat Sairam C.H.S.Ltd, Commercial Premises, Pt Malaviya Rd, Ramnagar, Dombivli East, Maharashtra 421201
For Appointment : +91-8928966787
Schedule a consultation today and take the first step towards expert care and better health!